Ağız Yaralarına Bitkisel Çözüm
Ağız yaraları, çeşitli nedenlerle oluşabilen ve rahatsız edici bir durumdur. Bu yazıda, ağız yaralarının tedavisinde kullanılabilecek bitkisel çözümler ve uygulama yöntemleri hakkında bilgi verilmektedir. Doğal yöntemlerle iyileşme sürecini hızlandırmak mümkündür.
Ağız yaraları, ağız içinde oluşan ve genellikle acı veren açık yaralardır. Bu yaralar, birçok farklı sebep ile ortaya çıkabilir; bunlar arasında travma, stres, bazı hastalıklar ve besin yetersizlikleri yer almaktadır. Ağız yaralarının tedavisinde bitkisel çözümler, doğal ve yan etkileri minimum düzeyde olan alternatifler sunmaktadır. Bu makalede, ağız yaralarına karşı etkili olan bitkisel çözümler ele alınacaktır. Ağız Yaralarının NedenleriAğız yaralarının oluşumuna neden olabilecek faktörler şunlardır:
Bitkisel ÇözümlerAğız yaralarının tedavisinde kullanılabilecek birçok bitkisel çözüm bulunmaktadır. Bunlar, iltihap giderici, antibakteriyel ve ağrı kesici özellikleri ile bilinir. İşte en etkili bitkisel çözümler:
Uygulama YöntemleriBitkisel çözümlerin etkinliğini artırmak için doğru uygulama yöntemleri önemlidir. İşte bazı öneriler:
SonuçAğız yaraları, yaşam kalitesini olumsuz etkileyen can sıkıcı bir durumdur. Ancak, bitkisel çözümler sayesinde bu yaraların tedavisinde doğal ve etkili yöntemler kullanılabilir. Aloe vera, çay ağacı yağı, bal ve zerdeçal gibi doğal içerikler, ağız yaralarının iyileşme sürecini hızlandırabilir. Ancak, herhangi bir bitkisel çözüm uygulamadan önce bir sağlık uzmanına danışmak önemlidir; zira bazı durumlarda ağız yaraları ciddi bir sağlık sorununun belirtisi olabilir. Ek olarak, ağız sağlığınızı korumak için düzenli diş kontrollerine gitmek, dengeli beslenmek ve stres yönetimi tekniklerini uygulamak da önemlidir. Bu, ağız yaralarının oluşumunu önlemek için etkili bir strateji olacaktır. |

















































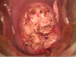
rahim ağzı yarası nasıl geçer bitkisel yöntemler ile ilgili bilgi arıyorum. Daha önce bitkisel çözümler denedim ama etkisi sınırlı oldu. Aloe vera ve zerdeçalın yararlı olduğunu duydum. Bu konuda deneyimi olan var mı, hangi yöntemler daha etkili? Yorumlarınızı bekliyorum.
Merhaba Kazak,
Rahim ağzı yarası gibi hassas bir konuda bitkisel yöntemler denemek, birçok kişi için çekici olabilir. Ancak, bu tür rahatsızlıkların tedavisinde her zaman uzman bir doktora danışmak en sağlıklı yoldur. Bitkisel çözümler bazı kişilerde fayda sağlasa da, etkileri kişiden kişiye değişebilir ve bazı durumlarda yarardan çok zarar verebilir.
Aloe Vera: Aloe vera, anti-inflamatuar ve iyileştirici özellikleri ile bilinir. Ciltteki yaraların iyileşmesine yardımcı olabilir. Ancak, rahim ağzı yaraları için kullanmadan önce mutlaka doktorunuza danışmalısınız.
Zerdeçal: Zerdeçalın da anti-inflamatuar özellikleri vardır ve bağışıklık sistemini destekleyebilir. Ancak, zerdeçalın doğrudan rahim ağzı yaralarını iyileştirdiğine dair kesin bilimsel kanıtlar bulunmamaktadır.
Diğer Bitkisel Yöntemler: Çay ağacı yağı, lavanta yağı gibi bazı esansiyel yağların da iyileştirici özellikleri olduğu söylenmektedir. Yine de, bu yağların kullanımı konusunda dikkatli olunmalı ve cilt testleri yapılmalıdır.
Sonuç olarak, bitkisel yöntemleri denemekten çekinmeyin, ancak bu yöntemlerin tıbbi tedavinin yerini tutmadığını unutmayın. En iyi sonucu almak için mutlaka bir sağlık uzmanına danışmayı ihmal etmeyin. Geçmiş olsun dileklerimle.
Ağız yarası sorunuyla başa çıkmak için bitkisel çözümler arıyorum. Özellikle aloe vera ve çay ağacı yağı gibi doğal ürünlerin yaraların iyileşmesine yardımcı olabileceğini duydum. Ağız yarasına ne iyi gelir bitkisel çözüm arayışında olanlar için bu yöntemler etkili midir? Tecrübe edenler neler öneriyor?
Ağız Yarası İçin Bitkisel Çözümler
Türev, ağzınızdaki yaralar için bitkisel çözümler arayışında olduğunuzu duymak güzel. Özellikle aloe vera ve çay ağacı yağı hakkında duyduğunuz bilgiler doğru ve bu doğal ürünlerin yaraların iyileşmesine yardımcı olabileceği birçok kişi tarafından tecrübe edilmiştir.
Aloe Vera
Aloe vera, anti-inflamatuar ve antibakteriyel özellikleri ile bilinir. Yaraların üzerini nazikçe aloe vera jeli ile kaplamak, hem ağrıyı hafifletir hem de iyileşme sürecini hızlandırabilir. Aloe verayı doğrudan yaraya uygulamak oldukça etkili olabilir.
Çay Ağacı Yağı
Çay ağacı yağı da güçlü antibakteriyel özelliklere sahiptir. Ancak, bu yağı kullanmadan önce mutlaka bir taşıyıcı yağ ile seyreltilmesi gerektiğini unutmamak önemlidir. Seyreltilmiş çay ağacı yağını yaraya uygulamak, enfeksiyon riskini azaltabilir.
Diğer Bitkisel Öneriler
Bunun yanı sıra, ıhlamur çayı, papatya çayı veya adaçayı gargarası da ağzınızdaki yaraların iyileşmesine katkı sağlayabilir. Bu bitkiler, doğal anti-inflamatuar ve antiseptik özelliklere sahiptir.
Son olarak, bol su içmek ve dengeli beslenmek de iyileşme sürecinde büyük rol oynar. Eğer yaralarınız sürekli tekrarlıyorsa veya şiddetliyse, bir uzmana danışmanızda fayda var. Kendi deneyimlerinizi de paylaşarak bu konuda daha fazla bilgi edinmek isteyenlere yardımcı olabilirsiniz.
Ağız yaraları ile başa çıkmak için bitkisel çözümler arıyorum. Aloe vera ve çay ağacı yağı gibi doğal yöntemlerin etkili olduğunu duydum. Bu yaraların iyileşmesi için başka hangi bitkisel çözümleri önerirsiniz? Ağız yaralarına bitkisel çözüm bulmakta zorlanıyorum, desteklerinizi bekliyorum.
Kayacan,
Aloe Vera ve Çay Ağacı Yağı gerçekten de ağız yaralarına karşı etkili olabilen doğal yöntemlerdir. Bunun yanı sıra, bu yaraların iyileşmesine yardımcı olabilecek diğer bitkisel çözümler de mevcuttur:
Hamamelis: Antiinflamatuar özellikleri sayesinde ağız yaralarının iyileşmesine katkı sağlayabilir. Pamuk yardımıyla uygulanabilir.
Papaya: Papaya meyvesinin içeriğindeki enzimler, yaraların hızla iyileşmesine yardımcı olabilir. Taze papaya püresi yaraların üzerine uygulanabilir.
Yaban Mersini: Antioksidan açısından zengin olan yaban mersini, bağışıklık sistemini destekleyerek ağız sağlığını olumlu yönde etkileyebilir.
Propolis: Arı ürünlerinden biri olan propolis, antiseptik özellikleri ile ağız yaralarının tedavisinde faydalı olabilir.
Yine de, bu yöntemleri denemeden önce bir sağlık uzmanına danışmanızda fayda var. Geçmiş olsun!
Ağız hijyenime dikkat etmeme rağmen sık sık ağız yaraları yaşıyorum ve çok rahatsız edici oluyor. Bu durum vitamin veya mineral eksikliğinden mi kaynaklanıyor olabilir? Günlük rutinde karbonatla gargara yapmak gerçekten etkili mi? Meyan kökü ve adaçayı gibi bitkisel çözümler ne kadar sürede gözle görülür bir iyileşme sağlar? Ayrıca bu yaraların genetik faktörlerle ilgisi var mı?
Merhaba Tanaydın,
Ağız yaralarının sık sık ortaya çıkması gerçekten rahatsız edici olabilir. Bu durumun vitamin veya mineral eksikliğinden kaynaklanıyor olma ihtimali var. Özellikle B12, folik asit ve demir eksikliği ağız yaralarına neden olabilir. Buna ek olarak, stres, hormonal değişiklikler ve bağışıklık sistemi problemleri de ağız yaralarının sıklığını artırabilir.
Karbonatla gargara yapmak, ağız pH seviyesini dengede tutarak bakteri üremesini azaltabilir ve bu sayede yaraların iyileşmesine yardımcı olabilir. Ancak bu tek başına yeterli olmayabilir. Bitkisel çözümler olarak meyan kökü ve adaçayı kullanmak da etkili olabilir. Bu bitkiler anti-enflamatuar ve antiseptik özelliklere sahiptir, bu nedenle düzenli kullanımda yaraların iyileşmesini hızlandırabilir. Ancak bu süre kişiden kişiye değişebilir ve genellikle birkaç gün ile bir hafta arasında gözle görülür bir iyileşme sağlanabilir.
Ağız yaralarının genetik faktörlerle de ilgisi olabilir. Ailede benzer problemler yaşayan bireyler varsa, bu durum sizde de daha sık görülebilir. Eğer sorun devam ederse ve yaşam kalitenizi olumsuz etkiliyorsa, bir diş hekimine veya doktora başvurmanız faydalı olacaktır.
Sağlıklı günler dilerim.